Newsletter non registered

Étude Liu et al. 202114

 

Méthodologie

Objectifs de l’étude

Démontrer la non infériorité de GADOVIST® à une dose réduite de 0,075 mmol/kg de masse corporelle versus le gadotérate de méglumine à sa dose standard de 0,1 mmol/kg de masse corporelle, chez des patients adressés pour IRM cérébrale avec rehaussement.


Méthodologie de l’étude

Étude de phase IV, prospective, internationale, multicentrique, en ouvert avec administration croisée de 2 produits de contraste.

Administration

  • Délai entre les 2 injections : 24 heures à 15 jours
  • Injection en IV à un débit de 2 ml/s suivie par 20 ml d’une solution saline à 0,9 % au même débit à l’aide d’un injecteur.
     

Protocole IRM

  • IRM à 1,5 T et 3 T avec antenne standard dédiée
  • Protocole standard identique pour les 2 IRM de chaque patient
  • Avant injection de gadolinium :
    • Séquence SE rapide T2w (coupe sagittale ou axiale)
    • Séquence SE rapide T1w (coupe axiale)
    • Séquence FLAIR (coupe axiale)
  • 4 à 10 minutes près injection de gadolinium :
    • Séquence SE rapide T1w (coupe axiale ou frontale)

 

FLAIR : Fluid Attenuated Inversion Recovery (séquence utilisée pour l’imagerie cérébrale ou séquence d’inversion-récupération)
IRM : Imagerie par résonance magnétique
SE : Spin echo


Critères d’inclusion

  • > 18 ans présentant des lésions cérébrales connues ou suspectées prenant le contraste
  • Adressés pour IRM cérébrale avec injection de produit de contraste entre novembre 2018 et mars 2020

 

Critères d’exclusion

  • Contre-indications à l’IRM ou à l’administration de produit de contraste (PdC) gadoliné
  • DFGe > 60 ml/min/1,73 m2 mesuré dans les 4 semaines précédent la 1ère IRM
  • Grossesse

 

Objectifs primaires

  • Démontrer la non-infériorité de GADOVIST® à une dose réduite de 0,075 mmol/kg vs gadotérate de méglumine à 0,1 mmol/kg en IRM sur 3 paramètres* :
    • Degré de rehaussement de contraste de la lésion 
    • Délimitation de la bordure de la lésion
    • Morphologie interne de la lésion

 

*La non infériorité était vérifiée si la dose réduite de GADOVIST® 0,075 mmol/kg permettait de préserver au moins 80 % de l’amélioration obtenue par l’injection du gadotérate par rapport à l’IRM non réhaussée et ce sur la base de la moyenne de l’analyse des 3 lecteurs.

 

Objectifs secondaires

  • Démontrer la non-infériorité de GADOVIST® à une dose réduite de 0,075 mmol/kg vs gadotérate de méglumine à 0,1 mmol/kg en IRM sur 4 paramètres :
    • Nombre total de lésions basé sur une lecture en aveugle 
    • Détection des lésions SNC malignes (spécificité, sensibilité, précision) basée sur une lecture en aveugle
    • Confiance diagnostique des lecteurs
    • Préférence du lecteur par comparaison en aveugle par paires (images T1w uniquement)

 

SNC : Système Nerveux Central

 

Évaluation des images IRM

  • Relecture centralisée en aveugle par 3 lecteurs expérimentés en neuroradiologie.
  • Les lecteurs effectuaient l’ensemble de leur analyse sur 2 sessions séparées d’au moins 2 semaines.
  • Durant chacune d’elles, les lecteurs analysaient uniquement :
    • soit les images pré- et post-contraste de gadobutrol à une dose réduite de 0,075 mmol/kg. 
    • soit les images pré- et post-contraste de gadotérate de méglumine à sa dose standard de 0,1 mmol/kg.
  • Lors de chaque session, les lecteurs devaient dans un 1er temps examiner et attribuer un score à toutes les images IRM pré-contraste puis, dans un second temps, faire une lecture conjointe des IRM pré- et post-contraste et y attribuer un score.
  • Immédiatement après la seconde session, les lecteurs étaient invités à faire une comparaison directe dans une 3ème session, entre la qualité de l’image (images T1w uniquement) obtenue par gadobutrol et celle obtenue par gadotérate de méglumine pour chaque patient.

 

Population étudiée (N = 141)

Liu Population étudiée

Résultats des critères principaux

Résultat du test de non-infériorité (population FAS, n = 141) :

Le gadobutrol à une dose réduite de 0,075 mmol/kg démontre une efficacité similaire au gadotérate de méglumine à sa dose standard de 0,1 mmol/kg sur le réhaussement de contraste.

Liu méthodologie

La non infériorité était vérifiée si la dose réduite de GADOVIST® 0,075 mmol/kg permettait de préserver au moins 80 % de l’amélioration obtenue par l’injection du gadotérate par rapport à l’IRM non réhaussée et ce sur la base de la moyenne de l’analyse des 3 lecteurs.

ET = écart type ; FAS = full analysis set ; IC = intervalle de confiance

 

Résultat du test de non-infériorité (population FAS, n = 141) :

Le gadobutrol à une dose réduite de 0,075 mmol/kg démontre une efficacité similaire au gadotérate de méglumine à sa dose standard de 0,1 mmol/kg sur la délimitation de la bordure de la lésion.

Liu Délimitation

La non infériorité était vérifiée si la dose réduite de GADOVIST® 0,075 mmol/kg permettait de préserver au moins 80 % de l’amélioration obtenue par l’injection du gadotérate par rapport à l’IRM non réhaussée et ce sur la base de la moyenne de l’analyse des 3 lecteurs.

ET = écart type ; FAS = full analysis set ; IC = intervalle de confiance

 

Résultat du test de non-infériorité (population FAS, n = 141) :

Le gadobutrol à une dose réduite de 0,075 mmol/kg démontre une efficacité similaire au gadotérate de méglumine à sa dose standard de 0,1 mmol/kg sur la morphologie interne de la lésion.

Liu morphologie

La non infériorité était vérifiée si la dose réduite de GADOVIST® 0,075 mmol/kg permettait de préserver au moins 80 % de l’amélioration obtenue par l’injection du gadotérate par rapport à l’IRM non réhaussée et ce sur la base de la moyenne de l’analyse des 3 lecteurs.

ET = écart type ; FAS = full analysis set ; IC = intervalle de confiance

Résultats des critères secondaires

Résultat du test de non-infériorité (population FAS, n = 141) :

Le nombre moyen de lésions détectées avec injection de gadobutrol à une dose réduite de 0,075 mmol/kg est comparable à celui obtenu avec le gadotérate de méglumine à sa dose standard de 0,1 mmol/kg.

Liu - Nb lésions

 

Résultat du test de non-infériorité (population FAS, n = 141) :

Le score de confiance diagnostique obtenu avec l’injection de gadobutrol à une dose réduite de 0,075 mmol/kg est comparable à celui obtenu avec le gadotérate de méglumine à sa dose standard de 0,1 mmol/kg.

Liu Score de confiance

ET = écart type ; FAS = full analysis set ; IC = intervalle de confiance

 

Résultat du test de non-infériorité (population FAS, n = 141) :

La sensibilité, la spécificité et la précision en termes de détection des lésions malignes du SNC étaient similaires, quel que soit le produit de contraste injecté.

Liu - Sensibilité Spécificité Précision

Les valeurs sont présentées sous forme de pourcentage des données brutes (n patients / n total patients) 
* Définie comme l’évaluation d’au moins 2 ou 3 des lecteurs

FAS = full analysis set ; IC = intervalle de confiance ; SNC : Système Nerveux Central

 

Résultat du test de non-infériorité (population FAS, n = 141) :

En termes de préférence, la réponse la plus communément rapportée par les lecteurs était l’absence de préférence pour l’un ou l’autre des produits de contraste (aucune différence significative, IC 95 % [-0,10 ; 0,11] ).

Liu préférences

FAS = full analysis set ; IC = intervalle de confiance.

 

Tolérance

  • Aucun décès, ou effets indésirables graves d’origine indéterminée ou associés au traitement, n’a été documenté pour aucun des patients durant l’étude.
  • 3 effets indésirables d’intensité modérée ont été documentés :
    • 1 effet indésirable dans le groupe gadobutrol à une dose réduite de 0,075 mmol/kg (parasthésie)
    • 2 effets indésirables dans le groupe gadoterate de méglumine à sa dose standard de 0,1 mmol/kg (prurit, urticaire)

 

GADOVIST® ne doit être utilisé que lorsque le diagnostic est nécessaire et que ce diagnostic ne peut être obtenu par IRM sans rehaussement de contraste.

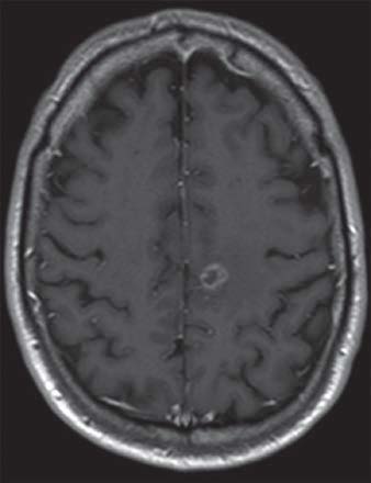
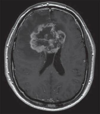
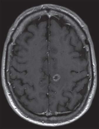
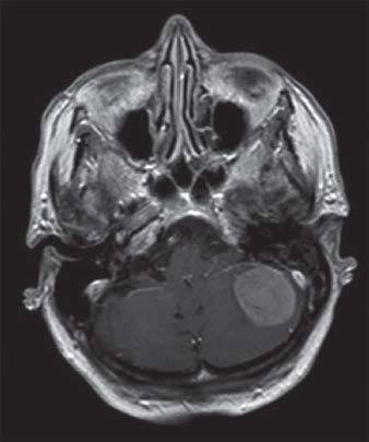
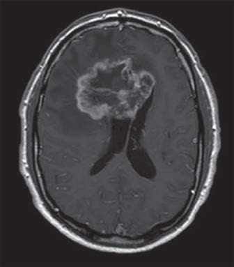
Études de cas

IRM d’un homme de 61 ans présentant des métastases dans l’hémisphère gauche du cerveau secondaire à un cancer du poumon

IRM d’une femme de 88 ans atteinte d’un méningiome de la fosse cérébrale postérieure

IRM d’un homme de 64 ans atteint d’un glioblastome

Bibliographie

  • 14. Liu BP, et al. Clinical Efficacy of Reduced-Dose Gadobutrol Versus Standard-Dose Gadoterate for Contrast-Enhanced MRI of the CNS: An International Multicenter Prospective Crossover Trial (LEADER-75). AJR Am J Roentgenol. 2021;217(5):1195-1205. Return to content
  • 19. Avis de la Commission de Transparence de GADOVIST® du 25/07/2018 et du 13/03/2024. Return to content

    DONNÉES DE SÉCURITÉ

    I. Contre-indications

    • Hypersensibilité à la substance active ou à l’un des excipients.

     

    II. Effets indésirables

    Les effets indésirables les plus fréquemment observés (≥ 0,5 %) chez les patients recevant GADOVIST® sont : céphalées, nausées et sensations vertigineuses. Les effets indésirables les plus graves observés chez les patients recevant GADOVIST® sont : arrêt cardiaque, syndrome de détresse respiratoire aiguë / oedème pulmonaire et réactions anaphylactoïdes sévères (incluant arrêt respiratoire et choc anaphylactique). Des cas de fibrose systémique néphrogénique (FSN) ont été rapportés avec GADOVIST®. La plupart des effets indésirables ont été d’intensité légère à modérée. Des fluctuations des paramètres de la fonction rénale, y compris une augmentation de la créatinine sérique ont été observées après l'administration de GADOVIST®

    Il a été démontré que la fréquence, le type et la gravité des effets indésirables chez l’enfant de tout âge (y compris le nouveau-né à terme) concordent avec le profil connu d’effets indésirables chez l’adulte.

    Pour plus d'information sur les effets indésirables peu fréquents ou rares, consultez le RCP.

    DECLARATION DES EFFETS INDÉSIRABLES :

    Déclarez immédiatement tout effet indésirable suspecté d’être dû à un médicament à votre Centre régional de pharmacovigilance (CRPV) ou sur www.signalement.social-sante.gouv.fr.

     

    III. Mises en garde et précautions d'emploi

    1. Réactions d'hypersensibilité ou autres réactions idiosyncrasiques

    Le gadobutrol ne doit pas être administré par voie intrathécale. Des réactions graves, pouvant engager le pronostic vital et ayant entraîné la mort dans certains cas, principalement des réactions neurologiques (coma, encéphalopathie, convulsions, par exemple), ont été signalées en cas d’administration intrathécale.

    L’utilisation de GADOVIST® peut s’accompagner de réactions anaphylactoïdes/d’hypersensibilité ou d’autres réactions idiosyncrasiques (par exemple, syndrome de détresse respiratoire aiguë / œdème pulmonaire avec ou sans contexte de réactions d'hypersensibilité), se traduisant par des manifestations cardiovasculaires, respiratoires ou cutanées, potentiellement sévères, allant même jusqu’au choc.

    Les patients souffrant de maladies cardio-vasculaires sont plus susceptibles de présenter une évolution grave ou fatale lors d’une réaction d’hypersensibilité sévère.

    Le risque de développer des réactions d’hypersensibilité peut être augmenté en cas :

    • de précédente réaction aux produits de contraste,
    • d’antécédents d’asthme bronchique,
    • d’antécédents de troubles allergiques.


    Chez les patients présentant un terrain allergique : les réactions d’hypersensibilité sont plus fréquentes, la décision d’utiliser GADOVIST® ne doit être prise qu’après une évaluation particulièrement attentive du rapport bénéfice/risque.

    La plupart de ces réactions surviennent dans la demi-heure suivant l’administration. Aussi, il est recommandé de garder le patient en observation après examen.

    Il est impératif :

    • d’avoir à disposition le traitement médicamenteux nécessaire à la prise en charge de réactions d’hypersensibilité ou d'autres réactions idiosyncrasiques
    • d’être prêt pour la mise en place immédiate de mesures d’urgence.


    Des réactions anaphylactoïdes retardées (de quelques heures à plusieurs jours après l’administration) ont été rarement observées.


    POINT D’INFORMATION

    Afin de réduire le risque de réaction d’hypersensibilité immédiate (HSI) lié aux produits de contraste à visée diagnostique, l’ANSM a rappelé aux professionnels de santé qui réalisent des examens d’imagerie avec produits de contraste les précautions à observer et conduites à tenir.

    Nous vous incitons à consulter le point d’information mis en ligne le 18 mars 2020, disponible sur le site de l’ANSM : https://ansm.sante.fr/actualites/produits-de-contraste-et-risques-de-reactions-dhypersensibilite-immediate-lansm-rappelle-les-precautions-a-prendre


     

    2. Insuffisants rénaux

    Avant l’administration de GADOVIST®, il est recommandé de procéder à des examens de laboratoire chez tous les patients afin de rechercher une altération de la fonction rénale.

    Des cas de fibrose systémique néphrogénique (FSN) ont été rapportés après injection de certains produits de contraste contenant du gadolinium chez des patients ayant une insuffisance rénale sévère aiguë ou chronique.

    GADOVIST® ne doit être administré aux patients présentant une insuffisance rénale sévère (DFG < 30 mL/min/1,73 m²) et aux patients en période périopératoire de transplantation hépatique qu’après une évaluation approfondie du rapport bénéfice/risque et que si les informations diagnostiques sont indispensables et ne peuvent être obtenues au moyen d'une IRM sans rehaussement du contraste.

    S’il est nécessaire d’administrer GADOVIST® chez ces patients :

    • la dose ne doit pas excéder 0,1 mmol/kg de masse corporelle ;
    • ne pas administrer plus d’une dose au cours de l’examen IRM et
    • les injections de GADOVIST® ne doivent pas être réitérées sauf si l’intervalle entre les injections est d’au moins 7 jours.


    GADOVIST® peut être éliminé par hémodialyse (ex : en cas de surdosage). Après 3 séances d’hémodialyse, environ 98 % de l’agent de contraste est éliminé du corps. Toutefois, il n’est pas établi que l’instauration d’une hémodialyse puisse prévenir ou traiter la FSN chez les patients qui ne sont pas déjà hémodialysés.

    3. Population pédiatrique

    En raison de l’immaturité de la fonction rénale chez le nouveau-né jusqu’à l’âge de 4 semaines et nourrisson jusqu’à l’âge d’un an, GADOVIST® ne doit être administré qu’après un examen approfondi de la situation et à une dose n’excédant pas 0,1 mmol/kg de masse corporelle. Ne pas administrer plus d’une dose au cours de l’examen. Les injections de GADOVIST® ne doivent pas être réitérées sauf si l’intervalle entre les injections est d’au moins 7 jours. Le gadolinium s’accumule dans le cerveau, en plus grande quantité et pendant une durée plus longue avec les produits de contraste de structure linéaire qu’avec les macrocycliques. Les risques à long terme associés à cette rétention sont inconnus. L’enfant est susceptible d’être davantage exposé que l’adulte aux produits de contraste à base de gadolinium étant donné : son espérance de vie et le risque cumulatif en cas de répétition des examens avec produit de contraste, et l’immaturité de la barrière hématoencéphalique.19 

    4. Sujets âgés (de 65 ans et plus)

    L’élimination rénale de gadobutrol pouvant être altérée, il est particulièrement important de rechercher un dysfonctionnement rénal chez les sujets âgés. Aucune adaptation posologique n’est nécessaire. A utiliser avec prudence.

    5. Troubles épileptiques

    Des précautions particulières s'imposent en cas de seuil épileptogène bas.

     

    IV. Grossesse et allaitement

    Les données sur l’utilisation de produits de contraste à base de gadolinium y compris du gadobutrol chez la femme enceinte sont limitées. Le gadolinium peut traverser la barrière placentaire. On ignore si l’exposition au gadolinium est associée à des effets indésirables chez le fœtus. Les études effectuées chez l’animal ont mis en évidence une toxicité sur la reproduction à des doses répétées élevées (voir rubrique 5.3).

    GADOVIST® ne doit pas être utilisé pendant la grossesse à moins que la situation clinique de la patiente ne nécessite l’administration de gadobutrol. Aux doses cliniques, aucun effet n’est attendu chez le nourrisson allaité en raison de la faible quantité excrétée dans le lait et de la faible absorption intestinale. Le médecin et la mère allaitante doivent décider s’il faut poursuivre l’allaitement ou le suspendre pendant les 24 heures suivant l’administration de GADOVIST®.

     

    V. Excipients à effets notoires

    Ce médicament contient moins de 1 mmol de sodium (23 mg) par dose (calculé pour une dose moyenne administrée à une personne de 70 kg) c’est-à-dire qu’il est essentiellement « sans sodium ».

     

    VI. Administration

    Voie intraveineuse exclusivement (en bolus). L’injection de GADOVIST® dans des veines de petit calibre peut provoquer des effets indésirables tels que rougeur et gonflement. La dose la plus faible permettant un rehaussement de contraste suffisant à des fins diagnostiques doit être utilisée. La dose doit être calculée en fonction de la masse corporelle du patient et ne doit pas dépasser la dose recommandée par kilogramme de masse corporelle, détaillée dans la rubrique 4.2 du RCP. 

    GADOVIST® doit être administré uniquement par des professionnels de santé ayant de l’expérience en IRM.

    Présentations destinées à usage unique seulement : flacons de 2 mL et 15 mL et seringues pré-remplies de 7,5 mL, 10 mL et 15 mL.
    Présentations destinées à usage unique ou à usage multipatients : flacons de 30 mL et 65 mL. Pour un usage multipatients, GADOVIST® doit être administré au moyen d’un injecteur automatique agréé pour un usage multipatients.

    La manipulation du produit de contraste doit être réalisée en respectant les règles d’asepsie.

     

    Instructions d’utilisation pour les flacons :

    Le bouchon en caoutchouc ne doit pas être percé plus d’une fois. 

    GADOVIST® ne doit être prélevé dans la seringue ou l’injecteur automatique qu’immédiatement avant son utilisation. 

    La date et l’heure de la perforation du bouchon doivent être indiquées sur l’étiquette du flacon dans l’espace prévu à cet effet. 

    L’injecteur automatique utilisé doit avoir reçu une autorisation pour un usage unique ou un usage multipatients. Le fabricant du dispositif doit démontrer l’aptitude de l’injecteur automatique et de ses composants pour l’usage prévu. Toute instruction supplémentaire du fabricant du dispositif concerné doit également être strictement respectée. En cas d’usage multipatients, les composants à usage unique doivent être remplacés entre chaque patient. 

    Pour un usage unique, toute solution injectable non utilisée au cours d’un examen doit être éliminée. 

    Pour un usage multipatients, toute solution injectable restante non utilisée dans un délai de 24 heures après la première ouverture du flacon doit être éliminée.

     

    Traçabilité dans le dossier patient

    L’étiquette détachable de traçabilité placée sur les flacons doit être collée dans le dossier du patient afin de permettre un suivi précis du produit de contraste à base de gadolinium utilisé. La dose administrée doit également être enregistrée. En cas d’utilisation de dossier médical électronique, le nom du produit, le numéro de lot et la dose administrée doivent être enregistrés dans le dossier du patient.

     

    DONNÉES ADMINISTRATIVES


    Liste I. Médicament soumis à prescription médicale.


    GADOVIST® 1,0 mmol/ml, solution injectable en flacon :

    Agréé Coll. chez l’adulte, l’adolescent, et chez l’enfant de tout âge (y compris le nouveau-né à terme)
     
    Présentations destinées à usage unique seulement :

    • 2 ml en flacon ; boite de 3.
       
    • 15 ml en flacon ; boite de 10.
       

    Présentations destinées à usage unique ou à usage multipatients :

    • 30 ml en flacon ; boite de 10.
       
    • 65 ml en flacon ; boite de 10.
       

    GADOVIST® 1,0 mmol/ml, solution injectable en seringue préremplie :

    Agréé Coll. chez l’adulte, l’adolescent, et chez l’enfant de tout âge (y compris le nouveau-né à terme)

    Présentations destinées à usage unique seulement :

    • 7,5 ml en seringue préremplie ; boîte de 5.
       
    • 10 ml en seringue préremplie ; boîte de 5.
       
    • 15 ml en seringue préremplie ; boîte de 5.
       

    Pris en charge dans le cadre de forfaits techniques dans les conditions prévues par l’arrêté du 2 février 2024 modifiant la convention nationale organisant les rapports entre les médecins libéraux et l’assurance maladie.
     

    BAYER HEALTHCARE S.A.S.
    1 rue Claude Bernard 
    59000 Lille
    Pharmacovigilance / Information médicale (N° vert) : 0 800 87 54 54
    www.bayer.com/fr/fr/france

     

    form popup

    newsletter login